همه چیز درباره کامپوزیت دندان های کج
دندان های کج در میان کودکان و بزرگسالان بسیار رایج است. دندانهای کج در بیشتر موارد مشکل اساسی ایجاد نمیکنند؛ تنها گاهی اوقات می توانند باعث مشکلات گفتاری یا سلامتی شوند. بیشتر مواقع، دندان های کج باعث تأثیر منفی بر اعتماد به نفس افراد می شوند، اما خبر خوب این است که امروزه گزینه های درمانی زیادی برای دندانهای کج وجود دارد. آیا دندانهای کج را کامپوزیت میکنند؟ درمانهای سنتی مثل ارتودنسی و روشهای امروزی مثل کامپوزیت، از جمله درمانهای دندان های کج هستند، از آنجایی که کامپوزیت یک روش فوری و راحت است، امروزه بین مردم طرفداران زیادی پیدا کرده است. به همین دلیل ممکن است سؤال آیا دندان های کج را کامپوزیت می کنند، برایتان پیش بیاید. با ما در ادامه همراه باشید که به نکات ارزشمندی خواهیم پرداخت.
کامپوزیت چیست؟
باندینگ کامپوزیت که به آن مواد پیوند به دندان نیز گفته میشود،یک روش دندانپزشکی زیبایی یا درمانی است که از رزین کامپوزیت برای اصلاح دندان های شکسته و به طور کلی، صاف کردن ظاهر دندان های شما استفاده می شود. این روش، یک رویکرد سفارشی دارد که دندانپزشک در آن، رزینی مطابق با رنگ دندان های بیمار به کار برده تا نتیجه ای طبیعی حاصل شود. این مواد رزینی روی سطح دندان اعمال شده و شکل، اندازه یا حتی در صورت نیاز، رنگ آن را می توانند تغییر دهند. همچنین با استفاده از کامپوزیت می توان شکاف بین دندان ها را پر کرد. این روش، یک راه حل بدون درد و در اکثر مواقع بدون نیاز به بی حسی موضعییا تزریق است. در ادامه، به پاسخ سوال آیا دندانهای کج را کامپوزیت می کنند، می پردازیم.
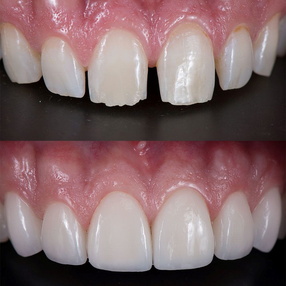
آیا دندان های کج را کامپوزیت می کنند؟
با توجه به چیزهایی که تاکنون در این مقاله خواندید، احتمالاً دریافتید که پاسخ سوال آیا دندان های کج را کامپوزیت می کنند، مثبت است. البته باید بدانید که کامپوزیت را تنها روی دندان هایی که کمی کج هستند می توان انجام داد و در صورت بیش از حد کج بودن دندان، دندانپزشک این کار را انجام نمی دهد. کامپوزیت یکی از بهترین گزینه ها برای بهبود ظاهر دندان های جلویی کج و یا پر کردن شکاف بین دندان های جلویی است. دندانپزشک شما رزین را به نحوی روی دندان مورد نظر اعمال می کند که هر گونه ناهماهنگی پنهان شده و ظاهری صاف تربه شمابدهد. پاسخ به سوال آیا دندان های کج را کامپوزیت می کنند، به بررسی عوامل مختلفی بستگی دارد که در ادامه به آن هااشاره می کنیم.
محدودیت های کامپوزیت برای دندان های کج چیست؟

در حالی که اتصال کامپوزیت برای بسیاری از افراد گزینه ای عالی است، اما همیشه نیز برای همه مناسب نیست. در زیر به این محدودیت ها اشاره می کنیم:
نامرتب و ناهماهنگ بودن دندان ها
اگر دندان هایتان کمی نامرتب است، میتوان مشکل آنهاراباکامپوزیت رفع کرد. متخصصان زیبایی دندان با استفاده از کامپوزیت میتوانند دندانهاراحتی خیلی کم، تنظیم و صاف کنند. اما اگر شدت نامرتب بودن دندانهایتان زیاد است، انجام کامپوزیت برای شما مناسب نیست.در این زمان باید به متخصص ارتودنسی مراجعه کرده تا درمان مناسب را به شما ارائه دهد.. بنابراین در این حالت، پاسخ به سوال آیا دندانهای کج را کامپوزیت میکنند، منفی استشکاف ها
با استفاده از کامپوزیت میتوان شکاف بین دندان هاراپرکرددرحالی که ممکن است سایر درمان هامثلارتودنسی نتوانسته باشند این کار را انجام دهند. همچنین گاهی اوقات می وان مشکلات جزئی گاز گرفتن و جویدن را از طریق درمانهای کامپوزیت برطرف کرد. اما لازم به ذکر است که گاهی اوقات کامپوزیت ممکن است بهترین انتخاب برای بستن شکافهای بزرگتر بین دندان هایا اصلاح مشکلات پیچیدهتر گاز گرفتن نباشد. این وابسته به وضعیت دندانهای شما است. بنابراین به دندانپزشک مراجعه کنید تا بهترین درمان ممکن را به شما ارائه دهد. پس در این حالت نیز، ممکن است پاسخ سؤال آیا دندانهای کج را کامپوزیت می کنند، منفی باشد.همیشه برای حل یک مشکل، مراجعه به یک فرد متخصص باید در اولویت شما باشد. یک دندانپزشک خوب باید بتواند بهترین راهکار را به شما ارائه دهد. به طور معمول، هنگامی که کاندید مناسبی برای انجام کامپوزیت دندان های کج نیستید، ارتودنسی به شما توصیه میشود. در ادامه به مزایا و معایب کامپوزیت دندانهای کج اشاره می کنیم تا بتوانید به پاسخ کاملتری از سؤال آیا دندانهای کج را کامپوزیت میکنند، برسید.
مزایا و معایب کامپوزیت دندان های کج

هر روش درمانی، زیبایی و غیره، مزایا و معایبی دارد که دانستن آن هابه شمادرتصمیم گیری بهتر کمک می کند. در این قسمت از مقاله به بررسی مزایا و معایب یکی از پرطرفدارترین روش های درمانی در دندانپزشکی،یعنی کامپوزیت می پردازیم و امیدواریم به شما در رسیدن به جواب سؤال آیا دندان های کج را کامپوزیت می کنند، کمک کننده باشد.
مزایا
معایب

کلام آخر
بنابراین، دریافتید که پاسخ سؤال آیا دندان های کج را کامپوزیت می کنند، به بررسی شرایط فردی شما بستگی دارد. مانند هر روش درمانی، برای انجام کامپوزیت دندان های کج نیز ابتدا باید به یک دندانپزشک متخصص مراجعه و ببینید آیا کاندید مناسبی هستیدیا خیر. اما به طور کلی، اگر دندانهایتان مشکلی جزئی داشته باشند، می توان با کامپوزیت آن را برطرف کرد. با انجام کامپوزیت، به لبخندی که همیشه آرزویش را داشتید ، می رسید. در آخر، امیدواریم که با خواندن این مقاله، به جواب سؤال آیا دندان های کج را کامپوزیت میکنند، رسیده باشید.
